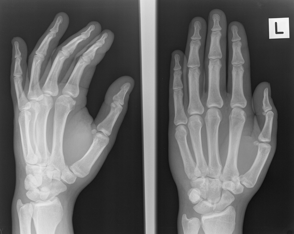
found a fracture on my left thumb at the base of the bone right where the socket / joint is,
on the inner side of the thumb facing my left index finger i think .
so there goes the speedy recovery
but if thats all ive broken from the stack then i think im pretty lucky




